Giới thiệu tiêu bản giảm phân ở châu chấu
Tiêu bản giảm phân châu chấu là mẫu tiêu bản hiển vi cố định chất lượng cao, được sử dụng phổ biến trong giảng dạy và thực hành môn Sinh học tại các trường THCS, THPT và phòng thí nghiệm sinh học. Tiêu bản được xử lý và nhuộm màu chuyên dụng giúp các cấu trúc nhiễm sắc thể hiện rõ ràng, hỗ trợ học sinh quan sát trực tiếp các giai đoạn của quá trình giảm phân (Meiosis).
Các mẫu tiêu bản được nhuộm với độ tương phản cao, màu sắc rõ nét. Sau khi nhuộm, mẫu được gắn lam phủ và cố định vĩnh viễn, đảm bảo độ bền cao và gần như không thay đổi chất lượng sau nhiều năm sử dụng. Vì vậy, tiêu bản rất phù hợp cho các tiết thực hành sinh học trong nhà trường.

Ý nghĩa của tiêu bản giảm phân châu chấu trong giảng dạy
Giảm phân là cơ sở của sinh sản hữu tính, trong đó một tế bào lưỡng bội (2n) trải qua hai lần phân bào liên tiếp để tạo ra bốn tế bào giao tử đơn bội (1n). Sau đó, giao tử đực và giao tử cái kết hợp với nhau trong quá trình thụ tinh để tạo thành hợp tử mang bộ nhiễm sắc thể lưỡng bội (2n).
Quá trình giảm phân và thụ tinh chính là nền tảng của di truyền học, giúp duy trì ổn định số lượng nhiễm sắc thể qua các thế hệ và tạo ra sự đa dạng di truyền. Hiểu rõ cơ chế giảm phân giúp học sinh nắm vững các quy luật di truyền cơ bản như quy luật Mendel.
Trong chương trình Sinh học, nội dung về giảm phân được giảng dạy ở lớp 9 và là một trong những kiến thức quan trọng nhưng khá phức tạp. Vì vậy, việc quan sát trực tiếp trên tiêu bản hiển vi sẽ giúp học sinh dễ dàng hiểu được bản chất của quá trình phân chia nhiễm sắc thể.

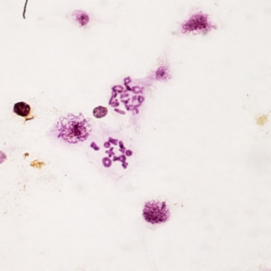
Quan sát quá trình giảm phân trên tiêu bản
Khi sử dụng tiêu bản giảm phân ở châu chấu, học sinh có thể quan sát được nhiều giai đoạn khác nhau của quá trình giảm phân trên cùng một mẫu tế bào, bao gồm:
-
Kỳ đầu I (Prophase I)
-
Kỳ giữa I (Metaphase I)
-
Kỳ sau I (Anaphase I)
-
Kỳ cuối I (Telophase I)
-
Các giai đoạn của giảm phân II
Các nhiễm sắc thể được nhuộm rõ ràng giúp người quan sát dễ dàng nhận biết sự tiếp hợp, phân ly và phân chia của nhiễm sắc thể dưới kính hiển vi.

Ưu điểm của tiêu bản
-
Mẫu tiêu bản sinh học cố định chất lượng cao
-
Nhuộm màu rõ nét, dễ quan sát
-
Lam kính và lam phủ chắc chắn, độ bền cao
-
Hình ảnh tế bào rõ ràng, phù hợp cho giảng dạy
-
Sử dụng lâu dài trong phòng thí nghiệm và trường học

Ứng dụng
-
Thực hành Sinh học lớp 9, lớp 10
-
Giảng dạy di truyền học
-
Thực hành quan sát tế bào dưới kính hiển vi
-
Sử dụng trong phòng thí nghiệm sinh học và trường học

Edulabviet
ĐC: 854/47/35 Thống Nhất, Phường 15, Quận Gò Vấp, Thành phố Hồ Chí Minh.
Hotline: 0937 527 787
Lượt Xem: 21








Reviews
There are no reviews yet.