1. Thông tin sản phẩm
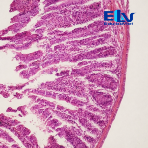
Tiêu bản ruột non cắt ngang là mẫu tiêu bản hiển vi cố định thể hiện rõ cấu trúc vi thể đặc trưng của ruột non như lớp niêm mạc, lông ruột (nhung mao), lớp cơ và các tuyến trong thành ruột. Đây là mẫu tiêu bản quan trọng trong giảng dạy và thực hành môn Sinh học, Giải phẫu học và Mô học.

2. Quy trình xử lý tiêu bản
Đây là tiêu bản hiển vi cố định, các tế bào trên lam kính đã được xử lý qua nhiều công đoạn phức tạp:
-
Cố định mẫu
-
Cắt lát ngang bằng thiết bị chuyên dụng
-
Ép và đặt mẫu lên lam kính
-
Nhuộm màu chuyên biệt để làm nổi bật cấu trúc mô
-
Khử nước
-
Sấy khô
-
Cố định vĩnh viễn bằng keo chuyên dụng và gắn lam phủ
Nhờ quy trình xử lý kỹ thuật này, tiêu bản có độ bền cao và khả năng bảo quản lâu dài.

3. Đặc điểm nổi bật
-
Cấu trúc mô rõ ràng, dễ quan sát:
Quan sát được nhung mao ruột, lớp biểu mô, lớp cơ vòng – cơ dọc và các lớp mô đặc trưng của thành ruột non. -
Màu nhuộm đẹp – độ tương phản cao:
Tế bào được nhuộm đậm, sắc nét, giúp việc quan sát dưới kính hiển vi quang học trở nên dễ dàng và chính xác. -
Độ bền cao:
Tiêu bản được gắn lam phủ bảo vệ mẫu, hạn chế tác động của môi trường và tăng tuổi thọ sử dụng. -
Thời gian sử dụng dài:
Có thể sử dụng trong nhiều năm, thậm chí vài chục năm nếu bảo quản tốt. Tuy nhiên, màu sắc tiêu bản sẽ giảm dần theo thời gian. Thời gian sử dụng tối ưu được khuyến nghị từ 3–5 năm để đảm bảo chất lượng quan sát tốt nhất.
4. Ứng dụng
-
Giảng dạy môn Sinh học, Giải phẫu học, Mô học
-
Thực hành quan sát cấu trúc vi thể ruột non
-
Phòng thí nghiệm trường học, trung tâm đào tạo
-
Tài liệu tham khảo nghiên cứu mô học động vật

Edulabviet
ĐC: 854/47/35 Thống Nhất, Phường 15, Quận Gò Vấp, Thành phố Hồ Chí Minh.
Hotline: 0937 527 787
Lượt Xem: 23









Reviews
There are no reviews yet.