1. Thông tin sản phẩm
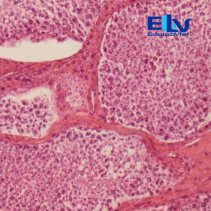
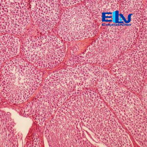
Tiêu bản tinh hoàn thỏ cắt ngang là mẫu tiêu bản hiển vi cố định thể hiện rõ cấu trúc vi thể của tinh hoàn, đặc biệt là các ống sinh tinh và các giai đoạn phát triển của tế bào sinh tinh. Sản phẩm phù hợp cho giảng dạy và thực hành môn Sinh học, Giải phẫu học, Mô học động vật.

2. Quy trình xử lý tiêu bản
Đây là tiêu bản hiển vi cố định, các tế bào trên lam kính đã được xử lý qua nhiều công đoạn kỹ thuật nghiêm ngặt:
-
Cố định mẫu
-
Cắt lát ngang bằng thiết bị chuyên dụng
-
Ép và đặt mẫu lên lam kính
-
Nhuộm màu chuyên biệt làm nổi bật cấu trúc mô
-
Khử nước
-
Sấy khô
-
Cố định vĩnh viễn bằng keo chuyên dụng và gắn lam phủ
Nhờ quy trình này, tiêu bản có độ ổn định cao và bảo quản được trong thời gian dài.

3. Đặc điểm nổi bật
-
Cấu trúc mô rõ ràng:
Quan sát rõ các ống sinh tinh, tế bào sinh tinh ở nhiều giai đoạn phát triển và mô kẽ tinh hoàn. -
Màu nhuộm đẹp – độ tương phản cao:
Tế bào được nhuộm đậm, sắc nét, giúp dễ dàng quan sát dưới kính hiển vi quang học. -
Độ bền cao:
Tiêu bản được gắn lam phủ bảo vệ mẫu, hạn chế ẩm mốc và tác động môi trường. -
Thời gian sử dụng lâu dài:
Có thể sử dụng trong nhiều năm, thậm chí vài chục năm nếu bảo quản tốt. Tuy nhiên, màu sắc có thể giảm theo thời gian. Thời gian sử dụng tối ưu khuyến nghị từ 3–5 năm để đảm bảo chất lượng quan sát tốt nhất.
4. Ứng dụng
-
Giảng dạy môn Sinh học, Giải phẫu học, Mô học
-
Thực hành quan sát mô tinh hoàn dưới kính hiển vi
-
Phòng thí nghiệm trường học, trung tâm đào tạo
-
Tham khảo nghiên cứu cấu trúc mô sinh dục động vật

Edulabviet
ĐC: 854/47/35 Thống Nhất, Phường 15, Quận Gò Vấp, Thành phố Hồ Chí Minh.
Hotline: 0937 527 787
Lượt Xem: 24









Reviews
There are no reviews yet.